Kim Kardashian’s Doctor Explains Why “Low Brain Activity” Is “Not Good” and How to Fix It

Success often demands a high price, but few expect to see the receipt stamped directly onto their own brain. Kim Kardashian recently faced this nightmare scenario when a doctor pointed to dark “holes” in her frontal lobes, claiming that the relentless pressure of her life had physically shut down parts of her mind. It is a diagnosis that feels like a verdict, validating the universal fear that our ambitions are slowly destroying us from the inside out. Yet, before accepting that the daily grind has permanently broken the machinery of the mind, it is crucial to question whether we are looking at medical truth or simply an expensive illusion.
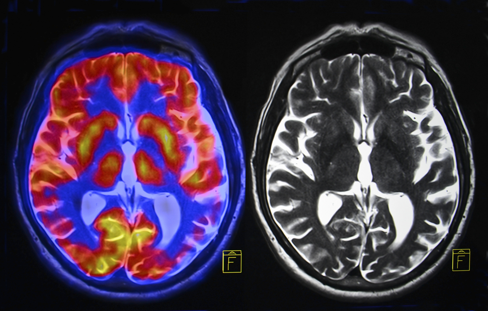
The Scan That Showed “Holes” in Her Brain

We often assume that money and fame act as armor against the struggles of the mind. Yet, beneath the surface, the human experience remains fragile. Kim Kardashian recently faced a moment that would shake anyone to their core. While in the middle of a grueling journey to pass the California bar exam, a massive undertaking for any aspiring lawyer, she sought medical insight into her health. What she received was a shocking visual that seemed to confirm everyone’s worst fears about burnout.
Her doctor displayed 3D scans of her brain and pointed to dark, ominous gaps. He called them “holes.” He explained to the reality star that these were not physical missing pieces, but areas of “low activity” in her frontal lobes. The culprit? Chronic stress. He warned that this condition would make it even harder to manage the pressure of her studies. It is a terrifying concept. The idea that worry and hard work can physically hollow out the mind is a nightmare for anyone chasing a dream.
It validates the anxiety that the relentless grind is silently destroying us from the inside out. When a doctor says stress is leaving “holes” in your brain, it feels like a definitive wake-up call. However, fear often travels faster than facts. Before accepting this diagnosis as the absolute truth, it is vital to understand what was actually on that screen.
Peeling Back the Curtain

To understand the diagnosis, one must look at the tool behind the terrifying images. The technology used is called single-photon emission tomography, or SPECT. It involves injecting radioactive chemicals into the bloodstream to track how blood flows through the brain. The resulting 3D images are colorful and visually striking, which makes them incredibly persuasive. When a specialist points to a dark patch on a monitor and calls it a “hole,” it looks like undeniable proof of damage.
However, scientific experts warn that these images can be misleading. Sarah Hellewell, a research fellow at Curtin University, explains that what appears to be a hole is simply an area of reduced blood flow. It is not a physical gap in the brain tissue. While SPECT has legitimate uses for specific heart or bone conditions, the broader scientific community remains highly skeptical of using it to diagnose mental health issues like chronic stress, ADHD, or relationship problems.
Experts point out that blood flow fluctuates naturally. It changes based on the time of day, how much sleep a person got, or even simple caffeine intake. Labeling these normal variations as “holes” caused by stress is scientifically unfounded. Critics argue that without credible evidence, these expensive scans risk becoming modern “snake oil,” selling fear rather than medical truth. It is essential to distinguish between a flashy visual and a proven medical reality.
When Fear Becomes a Business Model

These colorful brain maps come with a heavy price tag, and the cost is measured in more than just dollars. Because the broader medical community does not recognize these scans as necessary for healthy individuals, insurance companies almost never cover the bill. That leaves the patient alone to shoulder an expense that often exceeds $3,000. It is a luxury product marketed as a medical necessity, accessible primarily to those with deep pockets who are desperate for answers.
However, the financial hit is often the least damaging part of the process. The real danger lies in what happens after the diagnosis. Medical experts warn that relying on unproven technology often sends patients down the wrong path entirely. If the diagnosis is based on shaky ground, the “cure” is likely just as unstable. Patients are frequently steered toward ineffective treatment plans or sold expensive cocktails of dietary supplements they do not actually need.

Sarah Hellewell, a neurology researcher, describes these scans for healthy people as “opportunistic.” They rely on the double meaning of the word: they might stumble upon a finding by chance, but they also exploit the patient’s vulnerability. This business model turns health anxiety into a profit engine. It takes a person’s fear that something is wrong and sells them a problem that might not exist, all to pave the way for a solution that won’t help. Wealth and access do not guarantee truth; sometimes, they just make it expensive to be misled.
Resilience in the Face of Scans and Setbacks

Receiving a scary health assessment often paralyzes people, yet the reaction to the news matters more than the diagnosis itself. It is important to note that this specific scare coincided with a genuine medical concern; scans had previously detected a small brain aneurysm, a widening of an artery. While the “holes” were likely just blood flow variations according to critics, the accumulation of health fears alongside the pressure of a high stakes career could easily break a person’s spirit.
Despite the doctor’s grim description of her brain activity, he noted that the reality star was not anxious or depressed but “extraordinary in being positive.” This resilience appeared again when she faced a very public professional defeat. After spending years studying, she failed the California bar exam. It was a moment ripe for embarrassment. Instead, she chose to view the stumble as necessary traction. She publicly declared that she would not give up, stating clearly that “falling short isn’t failure, it’s fuel.”
This mindset shifts the narrative from a story about a damaged brain to a story about an unbreakable will. It proves that even when science, or pseudoscience, suggests we are broken, our determination can keep us whole.
The Real Cure

The doctor was clear: having “low activity” in the frontal lobes is “not good.” He explained that this state makes managing stress nearly impossible, creating a vicious cycle that threatens both success and happiness. His solution was immediate and urgent—a specific “plan” to fix the damage before it was too late. It is a compelling narrative. We all want a quick fix for our exhaustion. We all want a doctor to point to a spot on a map and say, “Here is the problem, and here is the cure.”
But we must be careful not to mistake a sales pitch for a solution. While chronic stress is real and dangerous, the path to healing does not require radioactive dye or thousands of dollars. The true “fix” is often far simpler and harder to sell: adequate sleep, balanced nutrition, and evidence-based mental health support. If you feel broken, do not look for holes that might not exist. Look at your life. Are you resting? Are you being kind to yourself? That is where the repair begins. We have the power to heal our own minds, not by buying into fear, but by investing in the basic, scientifically proven pillars of health. That is the only plan we truly need.
Loading...

